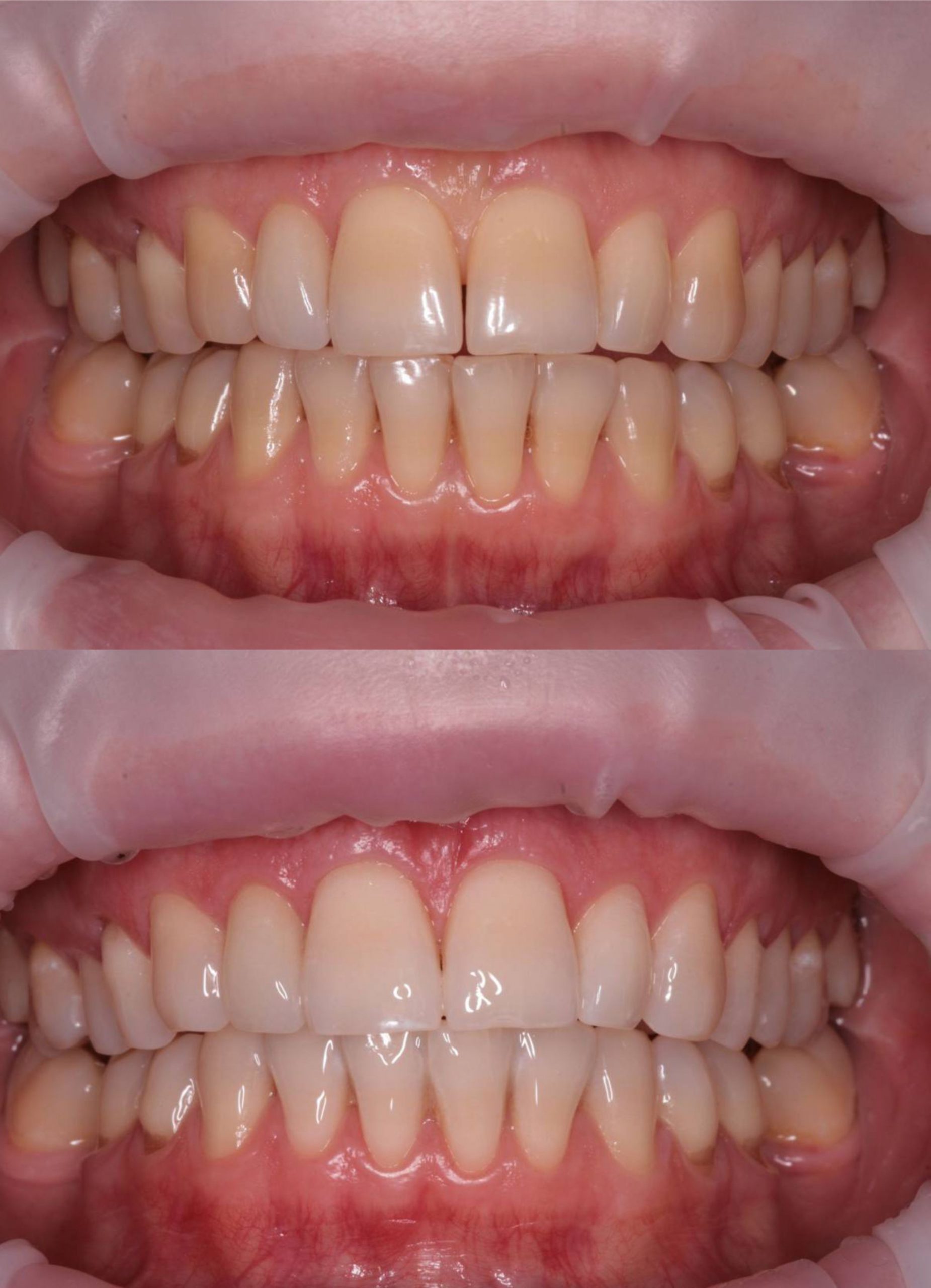
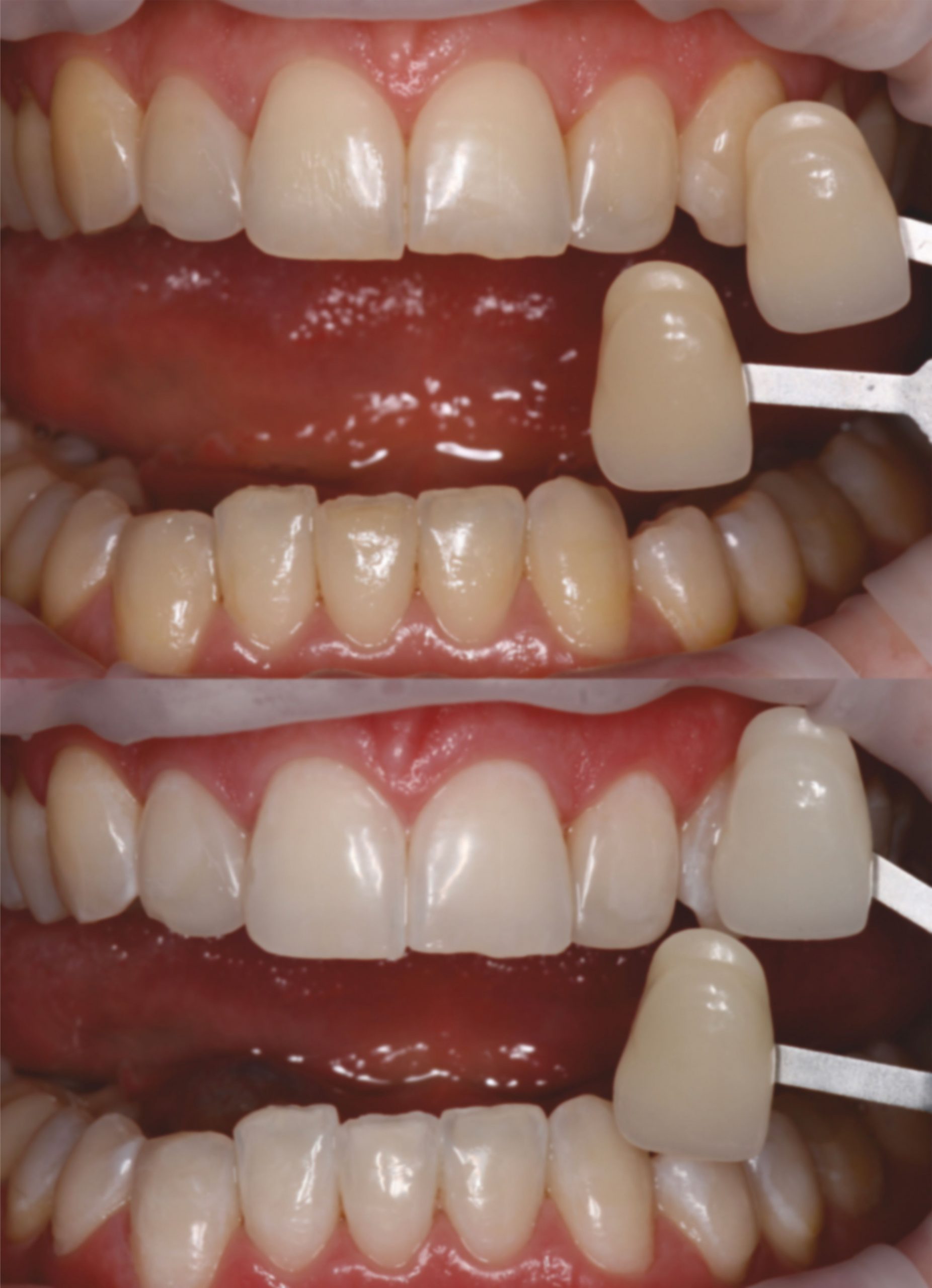
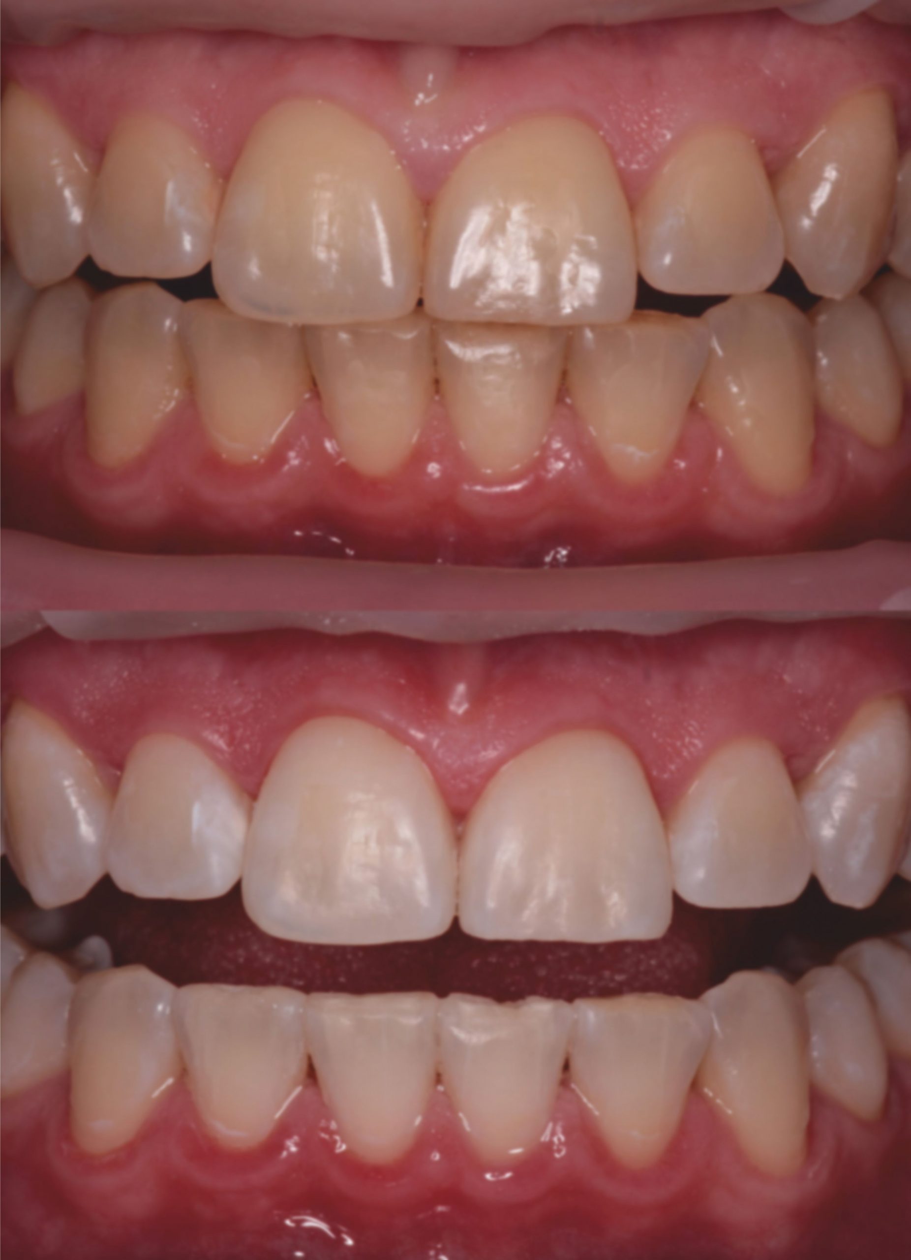
Керамические виниры — это накладки толщиной до 0,5 мм, улучшающие вид зубов и формирующие идеальную улыбку. Они могут также использоваться для защиты и повышения прочности отдельного зуба. Подобные микропротезы устанавливают с помощью особого адгезивного раствора на внешнюю сторону фронтального зубного ряда. Они отличаются долговечностью, эстетичностью и способностью сохранять первоначальный вид на протяжении всего периода эксплуатации. Оттенок, текстура, блеск и рельеф керамики не меняются со временем.

Установка керамических виниров позволит замаскировать дефекты формы и цвета, выровнять зубной ряд без длительного ношения брекет-систем. Срок службы микропротезов при аккуратном обращении составляет 15—20 лет.

Показания к установке керамических виниров

Применение керамических виниров в эстетической стоматологии поможет сделать незаметными различные недостатки:

  • темный цвет эмали, на которое не действует отбеливание;
  • наличие трещин, сколов, неровностей;
  • пятна на зубах из-за флюороза;
  • промежутки между зубами — тремы, диастемы;
  • небольшие дефекты расположения зубов, прикуса;
  • неправильная форма отдельных зубов в ряду.

Следует учитывать, что керамические виниры не помогут восстановить разрушенные зубы и не заменят коронки. При поражении зуба кариесом сначала следует вылечить заболевание и поставить пломбу, а уже после устанавливать на него тонкие пластины. На керамические виниры цена за 1 зуб составляет более 25 тысяч рублей.

Противопоказания к установке керамических виниров

В стоматологии «Дент-Ист» можно записаться на предварительную консультацию, во время которой врач оценит состояние зубного ряда и эмали, изучит индивидуальные особенности прикуса. Это помогает выявить возможные противопоказания для установки накладок, среди которых:

  • наличие существенных повреждений зубов;
  • большие пломбы на местах крепления накладок;
  • истончение наружного защитного слоя зуба;
  • необходимость лечения кариеса, пульпита, пародонтита;
  • бруксизм — склонность к скрежетанию зубами по ночам;
  • занятие экстремальными видами спорта.

Поставить керамические виниры в Москве можно в клинике «Дент-ИСТ». Для каждого пациента создается слепок, после примерки изготавливаются накладки для постоянной носки. Для уточнения деталей можно связаться с нашими менеджерами по телефону, указанному на сайте.

Записаться на прием

Цены на услугу керамические виниры и вкладки

Коронка керамическая

от 38 500 руб.

Винир цельнокерамический E-max

от 38 500 руб.

Керамическая вкладка

от 38 500 руб.

6 важных фактов о нашей клинике

01

Современные протоколы лечения

Медицина не стоит на месте и мы идем с ней вперед. Наши врачи подберут оптимальное лечение для каждого пациента на основе утвержденных Минздравом РФ протоколов

02

Безопасные методы диагностики

Быстрая и безболезненная компьютерная томография зубов, эксклюзивная диагностика жизнидеятельности зубов

03

Гарантия на все услуги

На имплантацию и ортодонтию пожизненная гарантия, на все остальные - 1 год

04

Рассрочка без участия банков

Беспроцентная рассрочка, на услуги ортодонтии, ортопедии и имплантации зубов

05

Высокая квалификация врачей

Наши специалисты имеют опыт работы заграницей, являются победителями международных конкурсов. В нашей команде врачи со стажем более 38 лет!

06

Работаем без выходных

Мы рады видеть наших пациентов 7 дней в неделю! Вам не нужно отпрашиваться с работы и менять свои планы

Прием ведут врачи

Марина Виталий Витальевич

Врач-стоматолог-ортопед , врач-стоматолог-хирург , имплантолог

Стаж работы: 15 лет

Записаться на прием
Куряев Ислам Ильясович

Врач-стоматолог-ортопед , врач-стоматолог-пародонтолог , врач-стоматолог-хирург

Стаж работы: 8 лет

Записаться на прием

Отзывы об услуге

Написать отзыв