Услуги стоматологии

 

 

Терапевтическая стоматология

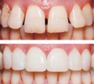
Эстетические реставрации зубов — это восстановление или улучшение природной эстетики зубов и зубных рядов материалами, […]

Во внутреннем пространстве зуба находится пульпарная камера и каналы корня зуба, содержащие пульпу — сложную […]

Что такое кариес? Кариес — это заболевание, характеризующееся прогрессирующим разрушением твердых тканей зуба (эмали и […]

Отбеливание зубов

Сейчас существует огромное множество методик отбеливания зубов, которые является абсолютно безопасными и очень эффективными. Наши […]

Отбеливание Opalescense Отбеливание зубов является одним из самых популярных способов повысить красоту Вашей улыбки. В […]

Ортодонтия

К сожалению, безупречную улыбку с белоснежными, ровно стоящими зубами природа дает не каждому из нас. […]

Сегодня пациентам предлагается целый ряд методик исправления прикуса. Для тех, кто заботится об эстетике своей […]

Пародонтология

Причины появления пародонтоза Скорость прогрессирования заболевания пародонта зависит от бактериальной бляшки и от эффективности местных […]

Пародонтом называется комплекс тканей окружающих зуб: костная лунка, десна и связочный аппарат зуба. Наиболее распространенное […]

Ортопедия

Потеря зубов может доставлять человеку сильный дискомфорт. Хорошо, что сейчас современная стоматология имеет широкие возможности […]

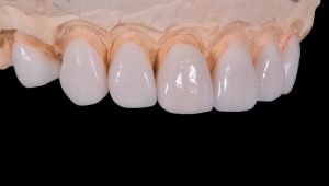
Диоксид циркония Prettau (Преттау) В современной ортопедической стоматологии очень распространено восстановление зубов при помощи коронок. […]

Человек, активно занимающийся экстремальными видами спорта, рано или поздно начинает задумываться о защите своих зубов. […]

Имплант — это искусственный корень — титановая конструкция, устанавливаемая хирургическим путем в челюсть, которая служит […]

Долгое время наиболее эстетичным методом восстановления утраченных зубов было протезирование металлокерамическими коронками, т.е. коронками, состоящими […]

Керамические виниры — это тонкие, толщиной всего до 0,8 мм (!!!), керамические пластинки, которые фиксируют […]

Вкладка — это микропротез, который, как и пломба, восстанавливает анатомическую форму зуба в случае его […]

Основным методом восстановления утраченных зубов уже много десятилетий является протезирование металлокерамическими протезами, или, как проще […]

Этот метод протезирования широко используется в мировой стоматологии, как основной метод долгосрочного протезирования при наличии […]

Гигиена и профилактика

Детский прием

Физиотерапевтическая стоматология

Применение магнитотерапии в стоматологии Наши врачи всегда стараются спасти зубик всеми доступными нам способами. А […]

Стоматологический центр «Дент-ИСТ» предлагает уникальные услуги озонотерапии с помощью специального аппарата. Это электрическое устройство, вырабатывающее […]

Трансканальные воздействия с применением постоянного тока: Трансканальные электрофорезы с иодидом калия; Трансканальные электрофорезы с ферментами. […]

Хирургия

Зубами мудрости называют «восьмые» зубы в ряду, отсчитывая от середины. Некоторые ученые считают их рудиментарным […]

Имплант — это искусственный корень — титановая конструкция, устанавливаемая хирургическим путем в челюсть, которая служит […]

В верхней челюсти у человека имеется полость, которая имеет название верхне-челюстная или Гайморова пазуха. Гайморова […]

За последние два десятилетия отечественная стоматология вслед за мировой шагнула далеко вперед. Разработано и активно […]

Имплантология

Что такое имплантация Имплантация — современный и самый совершенный процесс создания нового зуба. Состоит он […]

Имплант — это искусственный корень — титановая конструкция, устанавливаемая хирургическим путем в челюсть, которая служит […]

Идеи восстановления утраченных зубов давно будоражили умы врачей. Однако, до середины XX века все попытки […]

Диагностика